티스토리 뷰
목차
강아지 십자인대 파열: 원인, 증상, 진단, 치료



**십자인대 파열**은 강아지에서 매우 흔하게 발생하는 무릎 관절 질환으로,
특히 전방십자인대(ACL) 파열이 대부분을 차지합니다.
십자인대는 허벅지뼈(대퇴골)와 정강이뼈(경골)를 연결해 무릎의 안정성과 정상적인 움직임을 유지하는 역할을 합니다.
원인
- 과격한 운동, 점프 후 착지, 급격한 방향 전환
- 슬개골 탈구(특히 3~4기)
- 비만, 노령, 관절의 퇴행성 변화
- 유전적·해부학적 요인
- 드물게 교통사고, 낙상 등 외상
주요 증상
- 다리를 절뚝거리거나 한쪽 다리를 들고 걷는 모습
- 산책 거부, 기력 저하, 통증 호소
- 다리에 체중을 싣지 못함, 다리 근육 위축
- 장기간 방치 시 관절염 및 반월판 손상 위험
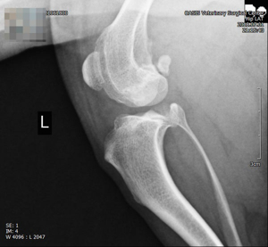
진단 방법
- 임상 증상과 이학적 검사(무릎의 불안정성 확인)
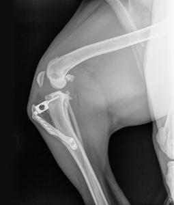
- 방사선(X-ray) 촬영
- 관절 초음파 검사 등 영상 진단
치료 방법
| 약물치료/보존적 치료 | 부분 파열, 소형견, 활동량이 적은 경우에 진통제, 운동 제한, 체중 관리 등 비수술적 치료 시도 가능 |
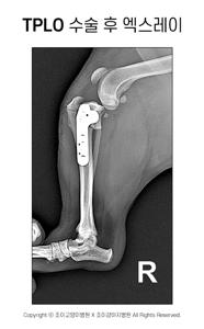
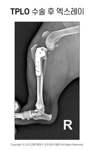
| 수술적 치료 | 완전 파열, 대형견, 활동량이 많은 경우, 보존적 치료에 효과 없을 때 필요. 대표적 수술로 TPLO, TTA, 인공 인대 대체 등이 있음 |
- 수술 후에는 입원, 재활치료, 체중 관리가 중요합니다.
- 보조기(무릎 보호대) 사용으로 통증과 염증 완화, 재활에 도움을 줄 수 있습니다.
예후 및 주의사항
- 십자인대 파열은 자연적으로 완전히 회복되지 않으며, 한쪽 다리 파열 후 1~2년 내 반대쪽도 파열될 위험이 높습니다.
- 조기 진단과 치료가 중요하며, 방치 시 만성 관절염, 반월판 손상 등 심각한 후유증이 남을 수 있습니다.
예방 및 관리
- 적절한 체중 유지와 규칙적인 운동
- 슬개골 탈구 등 기저 질환 관리
- 무리한 운동, 갑작스런 점프나 방향 전환 자제
요약
강아지 십자인대 파열은 흔하고 심각한 관절 질환으로,
절뚝거림 등 증상이 보이면 즉시 동물병원에서 진단과 치료를 받아야 합니다.
완전 파열 시 수술이 필요하며, 조기 치료와 체중 관리, 재활이 회복에 매우 중요합니다



강아지 십자인대 파열이 무릎에 미치는 영향
**십자인대 파열**은 강아지 무릎 관절에 심각한 영향을 미칩니다.
십자인대는 대퇴골(허벅지뼈)과 경골(정강이뼈)을 연결해 무릎이 안정적으로 움직이도록 잡아주는 역할을 합니다.
특히 전방십자인대는 무릎이 과도하게 움직이거나 뼈가 어긋나는 것을 막아주며,
강아지가 체중을 제대로 지탱할 수 있게 돕습니다.
십자인대 파열 시 무릎의 변화
- 관절 불안정
십자인대가 끊어지면 경골이 앞으로 밀리면서 무릎 관절이 불안정해집니다. - 이로 인해 강아지는 뒷다리를 절거나 들고 다니게 되고, 정상적인 보행이 어려워집니다.
- 통증과 파행
무릎 관절이 제대로 지지되지 않으면서 심한 통증이 발생하고, 다리에 체중을 싣지 못해 파행(절뚝거림)이 나타납니다. - 강아지는 활동을 꺼리고, 기력이 없어 보일 수 있습니다.
- 근육 위축
다리를 잘 사용하지 않게 되면서 시간이 지날수록 해당 다리의 근육이 위축됩니다. - 양쪽 다리의 근육량 차이가 점점 벌어질 수 있습니다.
- 관절염 및 2차 손상
파열된 상태를 방치하면 관절 내 염증이 심해지고, 시간이 지나면서 퇴행성 관절염이 발생할 수 있습니다. - 또한 대퇴골과 경골 사이의 반월판이 손상될 위험도 커집니다.
- 추가적인 손상 위험
한쪽 다리의 십자인대가 파열되면 1~2년 내 반대쪽 다리도 파열될 가능성이 높아집니다.
구조적 변화
- 정강이뼈의 전방 이동
십자인대가 끊어지면 정강이뼈가 앞쪽으로 밀려나 무릎 관절의 구조적 정렬이 무너집니다. - 무릎의 비정상적 움직임
관절이 불안정해지면서 무릎이 비정상적으로 움직이고, 이로 인해 추가적인 연골, 인대, 뼈 손상이 발생할 수 있습니다.
요약
강아지 십자인대 파열은 무릎 관절의 안정성을 무너뜨려 통증, 절뚝거림, 근육 위축, 관절염, 추가 손상 등
심각한 문제를 유발합니다.
조기 진단과 치료가 매우 중요합니다
수술 없이 강아지 십자인대 파열을 치료할 수 있나요?



**강아지 십자인대 파열**의 치료는 파열의 정도, 강아지의 체중, 나이, 건강 상태에 따라 달라집니다.
일반적으로 완전 파열이거나 대형견, 활동량이 많은 경우에는 수술이 권장되지만,
일부 상황에서는 수술 없이 관리하는 비수술적(보존적) 치료도 가능합니다.
비수술적 치료가 가능한 경우
- 십자인대 손상이 경미하거나 부분 파열일 때
- 소형견, 노령견, 또는 마취·수술이 위험한 건강 상태일 때
- 보호자가 수술을 원하지 않거나, 수술이 불가능한 상황
비수술적 치료 방법
- 운동 제한: 뛰거나 과격한 활동을 피하고, 산책도 최소화하며 안정이 중요합니다.
- 체중 관리: 관절에 부담을 줄이기 위해 적정 체중을 유지해야 합니다.
- 약물 치료: 진통제, 소염제 등으로 통증과 염증을 조절합니다.
- 무릎 보조기(보호대) 사용: 무릎을 안정화시키고, 근육이 회복될 때까지 관절의 불필요한 움직임을 줄여줍니다.
- 재활 운동 및 물리치료:
- 전문 재활 센터나 동물병원에서 맞춤형 운동, 수중치료 등으로
- 근육을 강화하고 관절의 기능을 보조합니다.
비수술적 치료의 한계와 주의점
- 십자인대가 완전히 회복되는 것은 아니며, 주변 조직이 보상적으로 관절을 지지하는 데 그칩니다.
- 장기간 방치 시 관절염, 반월판 손상, 만성 통증 등 2차 손상이 생길 수 있습니다.
- 일부 소형견이나 활동량이 적은 강아지는 비수술적 치료로 일상생활이 가능할 수 있지만,
- 대형견이나 활동량이 많은 강아지는 관절 불안정이 계속되어 예후가 좋지 않을 수 있습니다.
- 보조기나 붕대는 단기간(초기 2~3일)만 사용하고, 장기간 사용 시 근육 소실과 관절 구축 위험이 있습니다.
결론
- 수술 없이도 십자인대 파열을 관리할 수 있는 경우가 있지만, 완전한 회복을 기대하기 어렵고,
- 장기적으로 관절염 등 합병증 위험이 높습니다.
- 강아지의 상태와 파열의 정도에 따라 치료 방법이 달라지므로,
- 반드시 수의사의 진단과 상담을 통해 최적의 치료법을 결정해야 합니다
대형견과 소형견에서 십자인대 파열 발생 차이
1. 발생 빈도와 주요 원인
- 대형견
대형견에서는 십자인대 파열이 더 자주 발생합니다. - 이는 대형견이 체중이 많이 나가 인대에 가해지는 부담이 크기 때문입니다.
- 특히 래브라도 리트리버, 시베리안 허스키 등 대형견 품종에서 많이 보고됩니다.
- 대형견의 경우 외상(점프, 격렬한 운동, 미끄러짐 등)이나 비만, 노화로 인한 인대 약화가 주요 원인입니다.
- 소형견
소형견에서는 십자인대 파열이 대형견에 비해 상대적으로 드물게 발생하지만, - 최근에는 비만한 소형견에서 그 빈도가 증가하는 추세입니다.
- 또한, 소형견은 선천적으로 연골이 약해 슬개골 탈구가 흔한데,
- 이 슬개골 탈구가 장기적으로 십자인대 파열로 이어질 수 있습니다.
- 즉, 소형견에서는 슬개골 탈구가 십자인대 파열의 위험인자로 작용하는 경우가 많습니다.
2. 발병 연령과 경향
- 대형견
대형견은 보통 5~7세 무렵에 십자인대 파열이 잘 발생합니다. - 활동량이 많고, 체중이 무거울수록 조기에 발병할 수 있습니다.
- 소형견
소형견은 고령(10세 전후)에 십자인대 파열이 생기는 경향이 있습니다. - 슬개골 탈구를 오래 방치한 경우, 나이가 들면서 인대가 약해져 파열로 이어질 수 있습니다.
3. 증상 및 진행 양상
- 두 그룹 모두 뒷다리 파행(절뚝거림), 다리 들고 걷기, 무릎 통증 등의 증상이 나타나지만,
- 대형견은 체중 부담이 커서 파열 후 관절 불안정과 2차 손상이 더 빠르고 심하게 진행될 수 있습니다.
4. 치료 및 예후 차이
- 대형견은 관절에 가해지는 힘이 크기 때문에 비수술적 치료의 성공률이 낮고, 대부분 수술적 치료가 필요합니다1.
- 소형견은 체중이 적고 활동량이 많지 않다면 보존적 치료(운동 제한, 약물치료 등)로도 일상생활이 가능한 경우가 있습니다.
- 하지만 슬개골 탈구 등 기저 질환이 동반된 경우에는 수술적 치료가 필요할 수 있습니다.
요약 표
| 발생 빈도 | 높음 | 낮음(최근 비만 소형견에서 증가) |
| 주요 원인 | 외상, 비만, 노화 | 슬개골 탈구, 비만, 노화 |
| 발병 연령 | 5~7세 | 10세 전후 |
| 치료 | 주로 수술적 치료 필요 | 보존적 치료 가능성, 기저질환 시 수술 |
| 예후 | 2차 손상 빠르고 심함 | 상대적으로 진행이 느릴 수 있음 |
결론
대형견은 체중 부담과 외상에 의해 십자인대 파열이 더 흔하고, 빠른 치료와 수술이 필요합니다.
소형견은 슬개골 탈구 등 기저 질환이 동반될 때 십자인대 파열이 발생하며, 비만이 위험 요인입니다.
두 그룹 모두 조기 진단과 적절한 관리가 중요합니다
강아지가 십자인대 파열 후 회복하려면 어떻게 해야 하나요?



강아지가 십자인대 파열 후 회복하기 위해서는 수술 여부와 상관없이 체계적인 관리와 재활이 매우 중요합니다.
다음은 효과적인 회복을 위한 핵심 방법입니다.
1. 초기 안정 및 활동 제한
- 수술 후 또는 보존적 치료 시, 무릎에 무리가 가지 않도록 활동을 엄격히 제한해야 합니다.
- 뛰기, 계단 오르내리기, 갑작스러운 방향 전환 등
- 격한 움직임을 피하고, 크레이트나 작은 공간에서 휴식을 취하게 하는 것이 좋습니다.
2. 냉찜질과 온찜질
- 수술 직후에는 냉찜질로 붓기와 통증을 완화하고, 이후에는 온찜질로 혈액순환을 도와 회복을 촉진할 수 있습니다.
- 찜질 방법과 빈도는 수의사의 안내에 따라 시행해야 합니다.
3. 점진적 재활 운동
- 초기에는 가벼운 산책이나 걷기 운동부터 시작하여 점차 운동 강도를 높입니다.
- 수의사나 재활 전문가의 지도 하에 스트레칭, 마사지, 관절 운동, 수중 재활(수영 등) 등이 효과적입니다.
- 마사지는 통증을 유발하지 않도록 부드럽게 시행해야 하며, 강아지의 반응을 주의 깊게 관찰해야 합니다.
4. 체중 관리와 영양
- 과체중은 무릎에 부담을 주므로, 적정 체중을 유지하는 것이 회복과 재발 방지에 필수적입니다.
- 균형 잡힌 식단과 관절 건강에 도움이 되는 영양 보충제를 활용할 수 있습니다.
5. 약물 및 보조기 사용
- 통증과 염증 완화를 위해 수의사가 처방한 약물을 복용시킵니다.
- 무릎 보호대(보조기)는 관절을 안정시키고 추가 손상을 예방하는 데 도움이 됩니다.
6. 정기 검진과 장기 관리
- 회복 과정 중, 그리고 이후에도 정기적으로 동물병원을 방문해 무릎 상태를 체크해야 합니다.
- 재발이나 2차 손상(관절염, 반월판 손상 등)이 없는지 지속적으로 관리합니다.
회복에 도움이 되는 추가 팁
- 재활 운동은 강아지의 상태, 나이, 파열 정도에 따라 맞춤형으로 진행해야 하며,
- 반드시 수의사와 상의해 계획을 세워야 합니다.
- 회복 기간은 강아지의 크기, 건강 상태, 수술 방법 등에 따라 달라질 수 있습니다.
- 보호자는 인내심을 가지고 꾸준히 관리해야 합니다.
요약
강아지 십자인대 파열 후 회복을 위해서는
초기 안정, 점진적 재활 운동, 체중 관리, 영양 보충, 약물 및 보조기 사용, 정기 검진 등 종합적인 관리가 필요합니다.
수의사의 지시에 따라 꾸준히 관리하면 정상적인 활동으로의 복귀와 재발 방지에 큰 도움이 됩니다
십자인대 파열의 주요 원인
십자인대 파열은 무릎 관절에 위치한 십자 모양의 인대가 끊어지거나 찢어지는 상태로, 주로 다음과 같은 원인에 의해 발생합니다.
- 과격한 스포츠 활동
축구, 농구, 배드민턴, 스키 등 격렬한 운동 중에 무릎에 과도한 충격이나 회전력이 가해질 때 발생합니다. - 점프 후 착지 시 충격
점프 후 잘못된 착지로 무릎에 강한 힘이 실리면 십자인대가 파열될 수 있습니다. - 급작스러운 방향 전환 또는 정지
빠르게 달리다 갑자기 멈추거나 방향을 바꿀 때, 무릎 관절이 뒤틀리면서 손상이 일어납니다. - 직접적인 외상
경기 중 충돌, 교통사고, 넘어짐 등으로 무릎에 직접 충격이 가해질 때도 파열이 발생할 수 있습니다. - 퇴행성 변화(노화)
중년 이후에는 인대의 탄력이 떨어져 작은 충격에도 파열될 수 있습니다. - 근육 및 인대 약화
운동 부족, 비만, 근육 경직 등으로 무릎을 지지하는 힘이 약해진 경우도 위험 요인입니다.
십자인대 파열의 예방 방법
십자인대 파열은 다음과 같은 방법으로 예방할 수 있습니다.
- 충분한 준비운동(스트레칭)과 근력 강화
운동 전 10~20분간 무릎 주변 근육과 인대를 충분히 스트레칭해 유연성을 높이고, 평소 근력 강화 운동을 병행합니다. - 운동 시 올바른 자세 유지
점프 후 착지, 방향 전환 등에서 무릎에 무리가 가지 않도록 올바른 자세를 익히고, - 무릎을 과도하게 비틀거나 꺾는 동작을 피합니다.
- 무릎 보호대 등 보호장구 착용
격렬한 스포츠나 위험한 활동 시 무릎 보호대를 착용해 외부 충격을 줄입니다. - 체중 관리와 규칙적 운동
적정 체중을 유지해 무릎에 가해지는 부담을 줄이고, 규칙적으로 운동해 근육과 인대를 강화합니다. - 운동 환경 점검
미끄러운 바닥, 장애물이 많은 환경 등은 피하고, 안전한 운동 환경을 유지합니다. - 충분한 휴식과 회복
무릎에 피로가 누적되지 않도록 충분히 쉬고, 부상 후에는 완전히 회복될 때까지 무리한 활동을 삼갑니다.
요약
십자인대 파열은 과격한 운동, 점프 후 착지, 급격한 방향 전환, 직접적인 외상, 노화 등 다양한 원인으로 발생합니다.
예방을 위해서는 스트레칭과 근력 강화,
올바른 운동 자세, 보호장구 착용, 체중 관리, 안전한 환경 조성, 충분한 휴식이 필수적입니다