티스토리 뷰
목차



뼈 골절 수술비용은 골절 부위, 골절의 복잡성, 병원 규모, 사용 재료, 입원 기간 등에 따라 크게 달라질 수 있습니다. 아래는 최신 자료와 실제 경험담을 토대로 주요 부위별 평균 비용과 예상 범위를 정리한 내용입니다.
| 발 골절 | 1,650,000원 | 730,000원 ~ 4,100,000원 | 10.8일 |
| 대퇴부(허벅지) 골절 | 4,410,000원 | 2,960,000원 ~ 6,900,000원 | 22.3일 |
| 손가락/발가락 등 작은뼈 | (단순: 100여 만 원 내외) | 복잡한 경우 3,500,000원까지 발생 | 다양함 |
| 팔/무릎 등 | 600,000 ~ 1,600,000원 (경험담 기반) | 6~15일(실제 사례) | |
| 척추압박골절(수술 아님) | 80,000 ~ 100,000원(비수술) | 수술+MRI+입원 시 수백 ~ 천만 원 가능 | 1~2개월(입원 가능) |
- 발 골절 수술의 평균 비용은 약 165만 원이며, 입원 기간은 약 11일 정도가 평균입니다. 가장 저렴한 병원은 약 73만 원, 가장 비싼 곳은 410만 원까지 나올 수 있습니다.
- 대퇴부(허벅지) 골절 수술의 평균 비용은 약 441만 원이며, 상급종합병원일수록 비용이 높아질 수 있습니다. 최소 296만 원, 최대 690만 원까지 사례가 있습니다.
- 손가락 골절은 단순 골절의 경우 건강보험 적용 시 100만 원 내외로 나오는 경우도 있으나, 조각이 떨어져 복잡하거나 고난도 수술, 재료비가 추가되면 350만 원 이상이 부과될 수 있습니다. 병원, 수술 난이도, 입원일수에 따라 큰 차이가 있습니다.
- 팔 뼈, 무릎 등 부위의 경우 경험담을 보면 60~160만 원(건강보험 적용 기준) 수준이며, 단일 수술+짧은 입원이라면 이보다 적게 나올 수 있습니다.
- 경미한 골절, 비수술 치료의 경우 동네병원에서 단순 X-ray, 진찰비, 깁스만 하면 8~10만 원 선에서 치료가 가능합니다. 하지만 수술과 입원, 영상검사(MRI 등)까지 추가되면 수백만 원 이상이 될 수 있습니다.
- 보험금 기준으로는 부상등급에 따라 50만 원(가벼운 골절, 3일 이하 입원)부터 3,000만 원(척추, 대퇴부 등 중증 분쇄 골절)까지 구분되니, 본인/가족의 실손의료보험이나 상해보험 등 가입여부와 보장내역을 반드시 확인하는 것이 좋습니다.
참고사항
- 위 비용들은 건강보험 적용 기준이 대부분입니다. 비급여 항목 사용, 1인실(특실) 입원, 특수재료 사용 등은 추가 부담이 발생합니다.
- 병원별, 지역별 비용 차이가 있으므로 반드시 실제 수술 전 해당 병원에 문의하여 정확한 견적을 받는 것이 안전합니다.
- 실손보험, 상해보험 등에 가입되어 있을 경우 본인 부담금을 어느 정도 보전받을 수 있습니다.
결론적으로, 흔한 단순 골절 수술의 경우 100만 원~200만 원 내외, 복잡하거나 큰 부위(허벅지, 척추 등)의 경우 300만 원~700만 원 이상까지 발생할 수 있습니다. 골절 자리, 치료 난이도, 입원 기간, 병원 규모 등에 따라 다르므로, 본인의 구체적인 상황을 진료한 병원에서 안내하는 금액을 최종적으로 확인해야 합니다
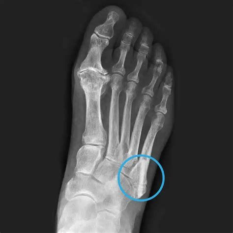
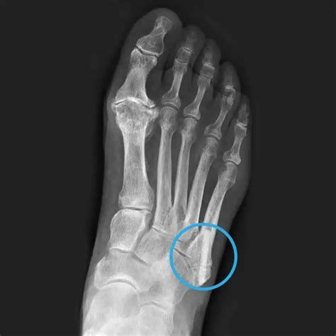
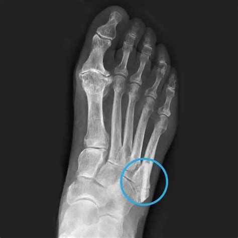
발 골절 수술 평균 비용은 얼마나 되나요
2025년 기준 발 골절 수술의 평균 비용은 약 1,650,000원입니다. 실제 사례를 보면 다음과 같은 범위를 보입니다:
- 최저 비용: 730,000원
- 최고 비용: 4,100,000원
- 평균 입원일수: 10.8일
이 수치는 발목을 제외한 발 골절(발등, 발가락 등)을 대상으로 전국 473개 의료기관(병원, 종합병원, 상급종합병원) 자료를 바탕으로 산출된 것으로, 건강보험이 적용된 기준입니다.
병원 규모, 골절 부위와 정도, 수술 방법, 비급여(특수 재료, 1인실 등) 유무, 입원 기간 등에 따라 비용은 큰 차이가 있을 수 있으므로, 실제 진료 전에는 해당 병원에 문의하여 정확한 견적을 확인하는 것이 안전합니다.
특히 발가락 등 비교적 단순한 골절 및 핀 제거, 짧은 입원만 필요한 경우에는 이보다 저렴하게(수십~수백만 원선) 나올 수도 있습니다
발목 제외 발골절 수술 비용 차이의 원인



발(발목 제외) 골절 수술 비용은 다양한 요인에 의해 차이가 크게 발생합니다. 평균적으로 73만~410만 원대까지 비용이 분포하며, 아래의 세부 요소들이 비용 차이를 결정짓습니다.
1. 골절의 부위와 심각도
- 위치: 발등, 발가락, 중족골 등 골절된 구체적 부위에 따라 수술 난이도와 방법이 달라집니다.
- 복잡성: 단순 골절(깨끗하게 부러짐)과 분쇄 골절(여러 조각으로 부러짐), 개방성 골절(뼈가 밖으로 튀어나옴) 등 골절의 형태 및 복합 정도가 높아질수록 비용이 오릅니다.
2. 수술 방법 및 사용 재료
- 내고정술, 외고정술 등: 금속 핀, 나사, 플레이트 등 사용 재료와 기술 수준에 따라 비용이 다릅니다.
- 수술 방식: 최소침습 수술, 절개 방법, 마취 종류 등에 따라도 수술비가 변동될 수 있습니다.
- 특수재료 및 비급여 항목: 건강보험 적용 여부에 따라 본인 부담 비용의 차이가 있으며, 비급여 재료(특수 금속, 수입재료 등)가 쓰이면 비용이 크게 증가합니다.
3. 입원 기간 및 병실 등급
- 입원 기간: 수술 후 회복과 재활 여부, 합병증 발생 등에 따라 입원일 수(평균 약 11일, 최대 32일)가 길어질수록 입원비가 추가됩니다.
- 병실 등급: 일반실, 1인실, 특실 등 입원 병실 유형에 따라 입원료 차이가 큽니다.
4. 의료기관 규모 및 지역
- 대형 병원 vs. 일반 병원: 상급종합병원, 대학병원 등은 의료진, 장비, 시설 차이로 인해 비용이 높아질 수 있습니다.
- 지역별 의료 수가: 대도시와 지방 병원 간의 진료비 차이도 존재합니다.
5. 추가 검사 및 재활 치료
- 정밀 검사: X-ray, CT, MRI 등 추가 촬영 및 정밀 진단 시 검사비가 발생합니다.
- 재활치료, 약물, 보조기: 수술 후 재활치료(물리치료 등)나 보조기 착용, 약제비 등도 총비용에 포함됩니다.
정리:
발(발목 제외) 골절 수술 비용의 차이는 주로 골절의 형태와 부위, 수술 난이도, 사용 재료와 의료기관, 입원 기간 및 병실 등급, 추가 검사·치료 등의 종합적인 요소에 의해 결정됩니다. 정확한 비용은 반드시 진료받는 병원에 문의해야 하며, 건강보험 및 실손보험 가입 여부도 본인 부담금에 큰 영향을 줍니다
수술비용이 가장 비싼 경우와 저렴한 경우의 차이
발(발목 제외) 골절 수술비용이 크게 차이나는 이유는 다음과 같은 핵심 요소들 때문입니다.
1. 골절의 형태 및 복잡성
- 저렴한 경우:
- 단순 골절(깨끗하게 1군데만 부러진 경우), 조각이 적은 단순 폐쇄 골절이 많음
- 간단한 수술과 짧은 입원으로 회복 가능
- 비싼 경우:
- 분쇄 골절(뼈가 여러 조각으로 깨짐), 개방성 골절(뼈가 피부 밖으로 튀어나온 경우)
- 고난도 수술과 추가적인 복구 과정이 필요, 외상이나 합병증 위험이 높을 수 있음
2. 수술 방법 및 사용 재료
- 저렴한 경우:
- 일반적인 핀, 나사, 플레이트 등 건강보험 적용되는 표준 재료 사용
- 내고정술 등 간단한 수술방법
- 비싼 경우:
- 수입산 혹은 특수 금속 재료 등 비급여(본인부담) 항목 사용
- 외고정 기구 등 고가의 첨단 재료·장비 사용
- 최소침습, 정밀수술, 정형외과 전문 술기 등이 추가될 수 있음
3. 입원 기간 및 병실 등급
- 저렴한 경우:
- 빠른 회복으로 며칠 내 퇴원 가능
- 4인실, 6인실 등 다인실 사용
- 비싼 경우:
- 합병증, 재활이 긴 경우 2주~1달 이상 입원(입원비 증가)
- 1인실 또는 상급실 사용시 추가 비용 발생
4. 의료기관 및 지역
- 저렴한 경우:
- 동네 중소병원, 지방 소재 의료기관
- 건강보험 수가 기준 적용
- 비싼 경우:
- 대학병원, 상급종합병원(대도시 소재)
- 고가 의료장비, 전문 의료인력에 따른 기본 진료비 상승
5. 추가 검사 및 재활
- 저렴한 경우:
- 단순 X-ray만 촬영, 추가 검사·재활치료 불필요
- 비싼 경우:
- CT, MRI 등 고가 영상 검사가 필요하거나, 집중적인 재활치료(물리치료, 보조기 등)가 병행됨
정리:
가장 저렴한 경우는 단순 골절, 표준재료, 짧은 입원, 다인실/중소병원 사용 시 가능하며,
가장 비싼 경우는 복잡/분쇄 골절, 고가의 비급여 재료, 장기간 입원, 고가 병실, 대학병원/대도시 의료기관, 추가 검사·재활 등이 더해질 때 발생합니다.
비용 차이는 수술 및 치료의 복잡성, 사용 재료, 병원 규모, 추가 치료 여부 등 종합적인 요인에 의해 결정됩니다.



골절 부위별 수술비용이 큰 영향을 미치는 요소는 무엇인가요
골절 부위별 수술비용에 큰 영향을 미치는 주요 요소는 아래와 같습니다.
- 골절 부위의 해부학적 특성
- 부위가 클수록(예: 대퇴부, 척추 등) 수술 난이도와 위험도가 높고, 사용되는 재료도 더 복잡하거나 많아져 비용이 증가합니다.
- 예를 들어, 머리뼈/얼굴뼈 골절 진료는 발생 빈도가 높지만, 실제 진료비 비중은 넓적다리뼈(대퇴부) 골절이 가장 높으며, 이는 해당 부위 수술이 복잡하고 후유증·합병증 가능성이 커 고가 치료가 요구되기 때문입니다.
- 수술 방법과 사용 재료
- 단순 내고정술, 나사 고정 같은 표준 수술과 비용이 낮은 표준재료 사용 시 저렴합니다.
- 인공관절 치환술, 외고정술 등 고난이도 수술법 또는 특수·수입산 재료(비급여) 사용 시 비용이 크게 늘어납니다.
- 골절의 복잡성 및 중증도
- 단일 청결 골절의 경우 수술과 입원 기간이 짧아 비용이 적게 듭니다.
- 분쇄(여러 조각), 개방성 골절 등은 수술이 복잡해지고 재활 기간·입원 일수가 길어져 고가로 이어집니다.
- 입원 기간과 추가 치료
- 골절이 심하거나 환자 상태가 나쁘면 입원 및 재활치료 기간이 길어져 비용이 증가합니다. 대퇴골절의 경우 평균 22.3일, 최대 36일까지 입원이 길어져 진료비 부담이 크다는 점이 대표적입니다.
- 환자 상태(나이, 기저질환 등)
- 노인층은 골절 후 회복이 느리고 합병증 위험이 높아, 치료와 수술이 복잡해지고 비용이 높아지기 쉽습니다.
- 만성질환 등 환자 기저 건강상태가 좋지 않을수록 추가 관리와 치료비가 발생합니다.
- 의료기관 규모 및 지역
- 대학병원, 상급종합병원, 대도시 소재 병원 등은 첨단 장비·인력에 따른 기본 진료비가 상승할 수 있습니다.
- 재수술 및 합병증 발생
- 재수술이 필요한 경우, 표준 수술 대비 더 높은 수술비가 책정되거나 고가 재료 및 추가 진료가 발생할 수 있습니다.
요약하면, 골절 부위 자체의 난이도, 수술 방식 및 재료 사용, 입원·재활 기간, 환자 특성과 병원 종류 등이 골절 부위별 수술비용의 주요 결정 요인입니다. 특히 대퇴부·척추 등은 수술 및 입원 난이도가 높아 가장 고가 진료로 집계되고, 손가락·발가락 등 작은 부위는 간단할수록 저렴하게 산정됩니다
수술 비용 부담 줄이는 방법
1. 건강보험 및 실손의료보험 적극 활용
- 국민건강보험은 대부분의 뼈 골절 수술에 기본적으로 적용되며, 수술·입원비의 30~50% 수준만 본인 부담.
- **실손의료보험(실비보험)**에 가입되어 있으면 남은 본인 부담금의 대부분까지 환급 가능. 실제 수술·입원비, 검사비, 재활치료비까지 청구할 수 있음.
2. 골절 관련 보험 특약 활용
- 골절진단비: 골절 진단 자체로 지급(20만~100만 원 등).
- 골절수술비 특약: 수술을 받으면 보험금 지급(단, 특약 가입 내역에 따라 상이).
- 보험사마다 중복 가입한 경우, 중복 청구도 가능하여 보험금이 추가 지급됨.
3. 비용 절감을 위한 생활 속 실천
- 요양병원, 중소병원, 지역병원 이용 시 비용이 저렴할 수 있음.
- 다인실 사용: 1인실, 특실은 하루 수만~수십만 원 추가 발생. 4-6인실 등 다인실 이용 시 절감.
- 정부·지자체 의료 지원제도: 저소득층, 장애등급 판정 시 추가 의료비 지원, 의료급여, 본인부담상한제 등 다양한 제도 활용 가능.
4. 진료비 할인 및 기타 팁
- 실손 보험 청구할 때 의사 소견서, 진료비 영수증 등 꼼꼼히 챙겨서 세부 항목까지 청구.
- 일부 카드사, 병원에서 진료비 할인 또는 포인트 적립·환급 서비스 제공.
- 병원을 오가며 발생하는 이동비, 추가 검사비 절감 위해 검사는 한 병원에서 몰아서 진행.
실질적 보험 적용 사례
| 중학교 자녀 자전거 사고 골절 | 골절 진단금, 골절수술비, 실손의료비, 상해입원특약 등을 모두 수령하여 실질 부담 매우 낮음 |
| 무릎 골절 수술(핀 고정) | 수술비 300~500만 원 → 건강보험+실손보험 적용 후 100~200만 원 수준만 부담 |
| 척추 골절 후 수술 및 장애진단 | 수술하지 않아도 후유장해담보 등의 특약으로 수천만~수억 원 보상 사례 다수 |
| 발목·발가락 단순 골절 | 실손보험에서 전액 보장, 별도 진단비·수술비 특약 있다면 추가 수령 가능 |
알면 더 이득, 구체적 절감 액션
- 수술·입원 전 보험 증권 확인 및 보험회사/설계사 상담: 내가 받을 수 있는 보험금 최대한 파악
- 의료비 지원 정책, 지역 병원, 정부 제도 적극 탐색
- 모든 영수증, 진단서, 소견서 챙기기: 실비보험 청구 시 필수
- 복수 보험 가입 시 각 보험사별로 중복 청구 가능
- 비급여 항목·특수 치료(고급 재료 등)는 보험 보장 범위 확인 후 진행
결론
건강보험과 실손보험, 골절진단비/수술비 특약, 정부 지원 제도 등을 적절히 활용하면 예상보다 훨씬 적은 비용으로 뼈, 관절 등 골절 수술·치료가 가능합니다. 실질 사례에서도 환자 부담을 수십만~백만 원 미만으로 줄인 경우가 매우 많으니, 수술 전후 보험상품 및 지원 혜택을 반드시 꼼꼼히 확인하는 것이 좋습니다