티스토리 뷰
목차
어깨 통증은 일상에서 매우 흔하게 나타나는 증상으로, 다양한 원인에 의해 발생할 수 있습니다.
대표적인 어깨 통증의 원인과 특징을 아래에 정리했습니다.



주요 어깨 질환과 증상
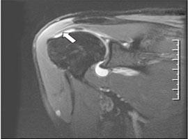
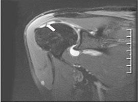
- 회전근개 파열
- 어깨뼈 사이에 위치한 4개의 근육(회전근개) 중 하나 이상이 끊어지거나 손상된 상태입니다.
- 팔을 위로 들어 올릴 때 통증이 심해지며, 어깨를 움직일 때 마찰음이 들릴 수 있습니다.
- 팔을 들어 올린 채 10초 이상 유지하기 힘들고, 누워있을 때나 밤에 통증이 악화하는 경향이 있습니다.
- 방치하면 파열 부위가 점점 커질 수 있으므로 조기 치료가 중요합니다.
- 유착성 관절낭염(오십견, 동결견)
- 어깨 관절을 감싸는 관절막에 염증이 생기고 두꺼워져 관절이 굳고 움직임이 제한되는 질환입니다.
- 팔을 머리 위로 올리거나 뒷짐을 지는 동작이 힘들고, 억지로 움직이면 어깨 전체가 심하게 아픕니다.
- 주로 40~50대에 많이 나타나며, 대부분 수술 없이 염증 치료와 운동치료로 완치가 가능합니다.
- 석회성 건염
- 어깨 힘줄에 칼슘이 침착되어 염증과 통증을 유발하는 질환입니다.
- 특별한 외상 없이도 갑자기 매우 심한 통증이 나타날 수 있으며, 젊은 층에서도 발생할 수 있습니다.
- 주사와 약물치료로 통증을 완화할 수 있습니다.
- 어깨충돌증후군
- 어깨 힘줄(회전근개)이 견봉(어깨 관절의 볼록한 부분) 뼈에 부딪혀 염증이 생기는 질환입니다.
- 머리 위로 팔을 올릴 때나 젖힐 때 통증이 나타나며, 90도 근처의 특정 각도에서 통증이 심합니다.
- 밤에 통증이 심해지는 경향이 있습니다.
어깨 통증 예방과 관리
- 올바른 자세 유지
- 잘못된 자세가 어깨 통증의 주요 원인입니다. 평소 어깨를 펴고 바른 자세를 유지하세요.
- 정기적인 스트레칭과 근력 강화
- 어깨 관절의 유연성과 근력을 유지하기 위해 스트레칭과 근력 강화 운동을 꾸준히 하세요.
- 무리한 운동 피하기
- 과도한 어깨 사용이나 무거운 중량을 다루는 운동은 피하고, 충분한 준비운동과 스트레칭을 하세요
- 증상이 지속되면 전문의 상담
- 통증이 2주 이상 지속되거나, 팔을 움직일 수 없을 정도로 심하다면 정형외과나 재활의학과를 방문해 진료를 받으세요.
추가 팁
- 일상생활에서 어깨 사용 줄이기
- 스마트폰 사용 시간을 줄이고, 틈틈이 어깨와 목, 허리 관절을 풀어주는 것이 좋습니다.
- 운동 시 주의
- 운동 전후로 어깨 관절의 충분한 스트레칭을 하세요.
어깨 통증은 방치하면 만성화될 수 있으므로, 증상이 나타나면 초기에 적극적으로 관리하는 것이 중요합니다.



어깨 통증이 특정 자세에서 더 심해지는 이유는 무엇일까
어깨 통증이 특정 자세나 각도에서 더 심해지는 주요 원인은 어깨 관절 내에서 구조물(특히 회전근개 힘줄과 견봉 뼈)이 서로 부딪히거나 마찰이 심해지기 때문입니다.
이 현상은 대표적으로 어깨충돌증후군에서 잘 나타납니다.
어깨는 뼈와 근육, 힘줄, 관절막 등 여러 구조물이 복잡하게 얽혀 있어,
팔을 들어올릴 때 특정 각도(주로 90도 전후)에서
견봉(어깨 뼈의 볼록한 부분)과 회전근개 힘줄(특히 극상근) 사이의 공간이 좁아지면서
힘줄이 뼈에 눌리거나 마찰을 심하게 받게 됩니다.
이로 인해 염증이 생기고 통증이 유발됩니다.
특정 자세에서 통증이 심해지는 이유를 정리하면 다음과 같습니다.
- 구조적 충돌:
- 팔을 들거나 돌릴 때, 어깨 내부 구조물이 특정 각도에서 더 가까워져 서로 부딪히거나 마찰이 심해짐.
- 염증 및 손상:
- 반복적인 충돌로 인해 회전근개 힘줄에 염증이나 손상이 생기면, 그 각도에서 통증이 더 심하게 느껴짐.
- 근육 긴장 및 자세 불량:
- 잘못된 자세(구부정한 자세, 장시간 스마트폰·컴퓨터 사용 등)는 어깨와 목 주변 근육을 긴장시키고, 관절의 정상적인 움직임을 방해해 특정 동작 시 통증을 더욱 악화시킴.
따라서, 어깨 통증이 특정 자세나 각도에서 더 심해지는 것은 어깨 내부 구조물의 반복적 충돌과 이로 인한 염증, 그리고 자세 불량 등이 복합적으로 작용한 결과입니다.
회전근개 파열과 유착성 관절낭염의 차이점은 무엇일까
회전근개 파열과 유착성 관절낭염(오십견)은 모두 어깨 통증을 일으키는 대표적인 질환이지만, 원인과 증상, 운동 범위에서 차이가 있습니다.
차이점 요약
| 정의 | 어깨의 회전근개(힘줄)가 끊어지거나 파열된 상태 | 어깨 관절을 감싸는 관절낭에 염증 및 유착 발생 |
| 주요 증상 | 팔을 위로 들 때 통증, 마찰음, 근력 저하 | 모든 방향으로 어깨 운동이 제한, 통증 |
| 운동 범위 | 스스로 팔을 들면 통증, 다른 사람이 들어도 들림 | 다른 사람이 들어줘도 팔이 잘 안 올라감 |
| 특징 | 팔을 들고 10초 이상 유지하기 힘듦, 밤에 통증↑ | 관절이 굳어서 움직임이 크게 제한됨 |
| 주요 연령대 | 중장년층, 젊은 층(과도한 운동, 외상 시) | 주로 50대 이상 |
상세 설명
- 회전근개 파열
- 정의: 어깨 내 회전근개(4개의 근육 힘줄) 중 하나 이상이 끊어지거나 손상된 상태입니다.
- 증상: 팔을 위로 올릴 때 통증이 심하고, 마찰음이 들릴 수 있습니다.
- 팔을 들어 올린 채 10초 이상 유지하기 힘들며, 밤에 통증이 악화하는 경향이 있습니다.
- 스스로 팔을 올리지 못해도, 다른 사람이 들어주면 팔이 올라갑니다.
- 운동 범위:
- 팔을 들어 올릴 때 통증이 있지만, 운동 범위 자체는 크게 제한되지 않을 수 있습니다(파열이 심하지 않은 경우). 파열이 커지면 근력 저하와 운동 범위 감소가 나타날 수 있습니다.
- 유착성 관절낭염(오십견)
- 정의: 어깨 관절을 감싸는 관절낭에 염증이 생기고 두꺼워져 관절이 굳는 질환입니다.
- 증상: 어깨가 굳어 모든 방향으로 움직임이 제한되고, 통증이 동반됩니다.
- 타인이 팔을 들어 올려도 어깨가 굳어 올라가지 않고 통증만 심해집니다.
- 운동 범위: 관절낭이 두꺼워져 움직임이 크게 제한되며, 팔을 들어 올리거나 뒤로 돌리는 동작이 모두 어렵습니다.
한눈에 보는 차이
- 회전근개 파열: 아프고 오래 버티지 못하지만, 다른 사람이 들어주면 팔이 올라감.
- 유착성 관절낭염: 다른 사람이 들어줘도 팔이 잘 안 올라가고, 어깨가 굳어 있음.
이처럼 두 질환은 증상과 운동 범위에서 차이를 보이므로, 정확한 진단을 위해 전문의 진료와 영상 검사가 필요합니다.



밤에 어깨 통증이 더 심한 경우 어떤 질환을 의심해야 할까
밤에 어깨 통증이 더 심해지는 경우, 대표적으로 회전근개 파열, 유착성 관절낭염(오십견), 석회성 건염 등 세 가지 질환을 의심할 수 있습니다.
이 세 가지 질환 모두 야간통(밤에 심해지는 통증)을 흔하게 유발합니다.
- 회전근개 파열
- 밤에 어깨 통증이 심해지고, 누워 있을 때, 특히 어깨가 아픈 쪽으로 눕지 못할 정도로 통증이 심한 경우가 많습니다.
- 팔을 들어 올린 채 10초 이상 유지하기 힘들고, 옷을 입거나 물건을 드는 일 등 일상생활이 불편해질 수 있습니다.
- 어깨 관절의 앞, 옆, 아래쪽까지 통증이 퍼질 수 있습니다.
- 방치하면 근력 약화, 운동 범위 제한 등이 심해질 수 있습니다.
- 유착성 관절낭염(오십견)
- 밤에 어깨가 심하게 아파서 잠을 못 잘 정도가 되고, 어깨가 굳어 움직임이 크게 제한됩니다.
- 시간이 지나면 통증이 자연스럽게 줄어들기도 하지만, 관절이 굳은 상태가 지속될 수 있습니다.
- 대개 50대 이상에서 잘 나타납니다.
- 석회성 건염
- 밤에 통증이 심해지며, 팔을 들어 올리지 못할 정도로 통증이 발생할 수 있습니다.
- 석회가 힘줄에 축적되는 과정에서 극심한 통증이 나타나기도 합니다.
이처럼 밤에 어깨 통증이 심하다면 위 세 가지 질환을 우선적으로 의심해볼 수 있습니다.
증상이 지속되거나 일상생활에 지장이 있다면 정형외과 진료를 받아 정확한 진단과 치료가 필요합니다
잘못된 자세가 어깨 통증에 미치는 영향은 무엇일까
잘못된 자세는 어깨 통증에 직접적이고 지속적인 영향을 미칩니다. 구체적으로 다음과 같은 문제가 발생할 수 있습니다.
- 근육 긴장 및 뭉침
- 잘못된 자세(예: 구부정한 허리, 거북목, 둥근 어깨 등)를 오랜 시간 유지하면 어깨와 목 주변 근육이 불필요하게 긴장되고 뭉치게 됩니다.
- 이로 인해 혈액순환이 저하되고, 피로감과 통증이 누적됩니다.
- 관절 및 힘줄에 부담 증가
- 어깨 관절은 다양한 움직임을 담당하지만, 잘못된 자세로 인해 힘줄과 관절에 비정상적인 부하가 가해집니다.
- 예를 들어, 둥근 어깨 상태에서는 견갑골(어깨뼈)이 정상 위치에서 벗어나 앞으로 기울어지고, 이로 인해 어깨 근육과 힘줄이 손상될 위험이 커집니다.
- 신경 압박 및 통증 전이
- 목과 등, 어깨는 해부학적으로 서로 밀접하게 연결되어 있습니다.
- 잘못된 자세로 인해 경추(목뼈)나 흉추(등뼈)가 불안정해지면, 어깨에도 통증이 전달될 수 있습니다.
- 목디스크나 일자목, 거북목 등 척추 문제가 어깨 통증으로 이어지는 경우도 흔합니다.
- 만성 통증 및 질환 악화
- 잘못된 자세를 장기간 방치하면, 회전근개 파열, 어깨충돌증후군, 유착성 관절낭염(오십견) 등 어깨 질환의 위험이 높아집니다.
- 만성 근막동통증후군, 두통, 손 저림 등 다양한 증상도 동반될 수 있습니다.
- 수면 및 일상생활 영향
- 잘못된 수면 자세(예: 만세 자세) 역시 어깨 근육에 부담을 주고, 통증과 염증을 유발할 수 있습니다.
- 이로 인해 밤에 통증이 심해질 수 있습니다.
올바른 자세를 유지하면 어깨 근육의 불필요한 긴장이 줄고, 통증과 결림을 예방할 수 있습니다.
특히 목, 어깨, 등 이완 및 강화 운동에 관심을 갖고 생활하는 것이 도움이 됩니다



조기 치료를 위해 내가 꼭 확인해야 할 증상은 어떤 것들이 있을까
조기 치료가 중요한 어깨 통증에서, 내가 꼭 확인해야 할 주요 증상은 다음과 같습니다.
- 통증의 지속성 및 강도
- 어깨 통증이 2주 이상 지속되거나 점점 심해지는 경우.
- 밤이나 휴식 중에도 통증이 심해 잠을 잘 수 없는 경우.
- 운동 범위의 제한
- 팔을 들어 올리거나 돌릴 때, 특정 각도에서 통증이 심하거나 움직임이 어려운 경우.
- 옷을 입거나 머리를 감는 등 일상생활 동작이 불편해진 경우.
- 근력 저하
- 팔에 힘이 빠지거나, 물건을 들 때 힘이 부족하게 느껴지는 경우.
- 팔을 들어 올린 채로 10초 이상 버티기 힘든 경우.
- 특정 증상의 동반
- 어깨에서 소리(찰칵, 삐걱거림 등)가 나거나, 부종, 열감, 감각 이상이 동반되는 경우.
- 어깨를 누르면 뚜렷한 압통(알 수 있는 통증 부위)이 있는 경우.
- 야간통(밤에 통증 심화)
- 누워 있을 때, 특히 어깨가 아픈 쪽으로 눕지 못할 정도로 통증이 심한 경우.
- 외상 또는 과도한 사용 이력
- 최근에 어깨를 다쳤거나, 반복적으로 무거운 물건을 들거나, 과도한 운동을 한 경우.
이러한 증상이 있으면 어깨 질환이 만성화되거나 손상이 커질 수 있으므로, 조기 치료를 위해 반드시 정형외과나 재활의학과 전문의 진료를 받는 것이 중요합니다.
건강검진이나 조기 진단이 질환의 악화를 막고 치료 효과를 높이는 데 매우 중요하다는 점도 참고하세요