티스토리 뷰
목차
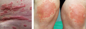
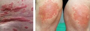
얼굴 두드러기는 피부 진피 내 혈관의 투과성이 증가하여 혈장 성분이 조직 내에 축적되면서
붉거나 흰색 부종과 심한 가려움증이 나타나는 증상입니다. 원인은 다양하며,
알레르기 반응(음식, 약물, 벌레 물림 등), 비알레르기 반응(신체 자극, 자가면역 질환 등),



물리적 자극(온도 변화, 압박, 자외선 등), 감염, 스트레스, 임신, 전신질환 등이 있습니다.
주요 특징 및 증상은 급격한 피부 부종(팽진), 가려움, 주로 12~24시간 이내 사라지는 일시적 병변,
때로는 얼굴이나 입술 주변 부종인 혈관부종 동반, 심할 경우 복통, 호흡곤란 등의 증상이 나오기도 합니다.
특히 얼굴에 두드러기가 생길 때는 면역력이 약해지거나
피로, 체온 변화, 음식 섭취, 환경 요인 등에 의해 피부 기능 저하로 나타날 수 있으며,
만성으로 반복될 수도 있습니다.
치료는 유발원인 파악 및 회피가 가장 중요하며, 항히스타민제 사용이 기본이고,
만성 두드러기에는 오말리주맙 같은 항체 치료제나 면역억제제를 쓸 수 있습니다.
증상이 심하면 단기간 스테로이드 치료도 고려됩니다.
따라서 얼굴 두드러기가 갑자기 발생하면 음식, 약물, 환경 노출 등 알레르기 원인을 의심하고,
증상이 심할 경우 의료기관에서 정확한 진단과 적절한 치료를 받는 것이 필요합니다.
요약:
- 얼굴 두드러기: 피부 부종과 가려움증으로 나타나는 일시적 피부 질환
- 원인: 알레르기, 신체 자극, 감염, 자가면역 등 다양
- 증상: 빨갛고 부어오름, 12~24시간 이내 소실, 혈관부종 동반 가능
- 치료: 유발인자 회피, 항히스타민제 기본, 필요시 항체치료제 및 면역억제제
얼굴 두드러기와 피부염 차이점은 무엇인가



얼굴 두드러기와 피부염의 차이는 다음과 같습니다.
- 정의 및 원인
- 얼굴 두드러기: 피부 진피 내 혈관의 투과성이 증가하여 혈장 성분이 조직에 축적되면서 빨갛고 부풀어 오른 팽진과 심한 가려움증이 생기는 일시적 피부 반응입니다. 원인은 알레르기 반응, 자가면역, 물리적 자극, 감염 등 다양합니다.
- 피부염: 피부에 생긴 염증으로, 습진과 같은 의미로도 쓰이며, 가려움, 붉은 발진, 피부 건조, 인설(각질), 삼출 등이 나타납니다. 원인은 건성 피부, 특정 물질 접촉, 알레르기, 약물, 환경 요인 등 다양하고 염증 반응이 주된 기전입니다.
- 증상 및 양상
- 두드러기: 붉거나 하얀 부풀어 오른 경계가 뚜렷한 팽진이 갑자기 나타났다가 대체로 24시간 내에 사라지고, 반복적으로 새로운 병변이 생깁니다. 피부가 정상으로 돌아오며 주로 가려움이 심합니다.
- 피부염: 피부 표면에 홍반, 구진, 인설, 수포, 딱지 등이 천천히 진행되며 만성화될 수 있고 피부가 건조해지고 두꺼워집니다. 가려움과 함께 피부 표면의 변화가 꾸준히 나타납니다.
- 발병 부위
- 얼굴 두드러기: 얼굴을 포함하여 몸 어디든지 갑작스럽게 발생할 수 있습니다.
- 피부염: 얼굴, 손, 팔꿈치 등 특정 부위에 만성적으로 자주 발생하며, 접촉 피부염은 노출 부위에 국한됩니다.
- 치료법
- 두드러기: 원인 회피가 가장 중요하며, 항히스타민제가 기본 치료입니다. 필요시 스테로이드, 면역조절제 등도 사용합니다.
- 피부염: 피부 보습과 염증 완화가 중심이며, 원인 제거, 국소 스테로이드, 면역 조절제 등을 사용합니다.
요약하자면, 두드러기는 혈관 투과성 증가로 인한 갑작스런 피부 부종과 가려움증이 특징이고,
피부염은 피부 염증에 의한 만성적이며 피부 표면 변화가 주로 나타나는 질환입니다.
두드러기는 주로 일시적이고 반복적으로 나았다가 사라지는 반면,
피부염은 만성적이고 표면의 지속적인 변화를 동반합니다.
정확한 진단과 치료를 위해서는 피부과 전문의 상담이 필요합니다.
얼굴 두드러기 발생 원인에는 어떤 것들이 있나
얼굴 두드러기의 발생 원인은 매우 다양하며 크게 알레르기 반응과 비알레르기 반응으로 나눌 수 있습니다.
- 알레르기 반응: 음식(계란, 생선, 패류, 땅콩, 과일 등), 약물(항생제 포함), 벌레 물림, 식품 첨가제, 동물 털과 비듬 등 특정 화학물질 섭취, 흡입, 접촉에 의한 면역체계의 과민 반응입니다. 민감한 사람에게 히스타민이 분비되며 갑작스러운 피부 부종과 가려움이 나타납니다.
- 비알레르기 반응: 감염, 자가면역 질환, 물리적 자극(압박, 마찰, 온도 변화, 햇빛 노출, 추위 등), 일부 약물에 의한 직접적 두드러기 유발, 스트레스 등입니다. 이 경우 면역 과잉 반응이 아닐 수도 있습니다.
- 특수 형태
- 일광 두드러기: 햇볕 노출 시 몇 분내 발생
- 한랭 두드러기: 추위 노출 후 발생
- 콜린성 두드러기: 땀 분비, 과도한 운동, 정신적 스트레스에 의해 나타남.
- 두드러기가 급성으로 나타나면 특정 원인이 식별 가능한 경우가 많으나, 전체 환자 중 절반 이상은 원인을 찾기 어려운 경우도 많습니다.
히스타민이 피부 모세혈관을 확장시키고 혈관 투과성을 높여 피부 부종과 가려움증을 일으키는 것이 주요 기전입니다.
따라서 얼굴 두드러기 발생 원인은 음식, 약물, 벌레 물림, 감염, 신체 자극, 자가면역, 스트레스 등 매우 다양하며, 원인 파악과 회피, 적절한 치료가 중요합니다.
얼굴 두드러기를 완화하는 자연 요법이 있을까요



얼굴 두드러기를 완화하는 자연 요법으로는 다음과 같은 방법들이 있습니다.
- 한약재 차 섭취: 만성 두드러기 환자에게 목단피(모란 뿌리)와 금은화(인동 꽃) 등의 한약재를 차로 끓여 마시는 방법이 항염, 항균 작용과 함께 피부 열을 가라앉히는 데 도움이 될 수 있습니다.
- 냉찜질 및 차가운 압축: 두드러기 부위에 얼음팩이나 차가운 물수건으로 차가운 압축을 하면 가려움증과 붓기를 줄이는 데 효과적입니다.
- 반신욕 및 땀 내기: 실내에서 반신욕이나 유산소 운동을 통해 땀을 흠뻑 내게 하면, 땀구멍이 잘 열리고 체내 열 배출이 촉진되어 증상 완화에 도움이 됩니다.
- 스트레스 관리와 생활습관 개선: 스트레스는 두드러기를 악화시키므로 명상, 요가, 심호흡 같은 스트레스 감소법을 활용하는 것이 좋습니다. 또한, 충분한 수면과 규칙적인 식습관 유지가 중요합니다.
- 피부 보습과 자극물 회피: 피부 건조는 가려움을 악화시킬 수 있어 보습제를 꾸준히 바르는 것이 도움되며, 향이 강하거나 자극적인 비누, 로션 등은 피해야 합니다.
- **급성 증상에는 자락 요법(손끝 자극법)**이 일부 급성 면역반응에 효과가 있다고 알려져 있으나, 전문의 상담 후 진행하는 것이 안전합니다.
이러한 자연 요법은 두드러기 증상 완화에 도움이 될 수 있으나, 증상이 심하거나 오래 지속되면 반드시 피부과 전문의와 상담하여 적절한 진단과 치료를 받는 것이 권장됩니다.
요약:
| 목단피·금은화 한약차 | 항염, 항균, 피부 열 완화 |
| 냉찜질 및 차가운 압축 | 가려움 및 부기 완화 |
| 땀 내기 (반신욕, 유산소) | 땀구멍 열림으로 체내 열 배출, 증상 개선 |
| 스트레스 관리 | 두드러기 악화 요인 감소 |
| 피부 보습 및 자극 회피 | 피부 건조 방지, 자극 최소화 |
각 방법은 개별 상태에 따라 효과 차이가 있으므로 전문가 상담과 병행하는 것이 가장 안전합니다.
만성 얼굴 두드러기와 급성 두드러기의 차이는 무엇인가요
만성 얼굴 두드러기와 급성 두드러기의 가장 큰 차이는 발생 기간과 반복성입니다.
- 급성 두드러기는 보통 6주 미만, 보통 1주일 이내에 증상이 사라지는 일시적인 피부 반응으로, 원인이 명확한 경우가 많습니다. 음식, 약물, 벌레 물림 등 알레르기 원인이 대표적이며, 원인이 제거되면 증상도 빨리 호전됩니다.
- 만성 두드러기는 6주 이상 지속되거나 반복적으로 재발하는 상태를 의미합니다. 평균적으로 1년에서 5년까지 증상이 지속될 수 있으며, 원인이 명확하지 않은 경우가 많아 치료가 더 어렵고 만성 관리를 필요로 합니다. 만성 두드러기의 약 70~80%는 원인을 알 수 없으며, 자가면역 기전이나 감염, 대사 이상, 스트레스 등이 관련될 수 있습니다. 만성 두드러기는 극심한 가려움증과 반복적 발생으로 삶의 질 저하 및 수면 장애, 정신적 고통을 동반할 수 있습니다.
치료 관점에서도 급성 두드러기는 주로 항히스타민제와 스테로이드 등의 단기간 약물치료로 증상 조절이 가능하지만, 만성 두드러기는 2세대 항히스타민제의 장기 복용이 필요하며, 일부는 생물학적 제제 같은 고도 치료가 요구됩니다.
요약하면:
| 지속 기간 | 6주 미만, 보통 1주 내 소실 | 6주 이상 지속 또는 반복 발생 |
| 원인 | 명확한 알레르기성·외부 원인 | 원인 불명 다수, 자가면역 가능성 |
| 증상 | 갑작스러운 가려움과 피부 부종 | 지속적·반복적 가려움과 피부 변화 |
| 치료 | 단기간 항히스타민제 및 스테로이드 | 장기간 항히스타민제, 생물학적 제제 가능성 |
따라서 만성 얼굴 두드러기는 증상의 지속과 난치성 측면에서 급성과 구별되며, 증상이 6주 이상 반복되면 만성으로 판단해 전문적인 검사와 치료가 필요합니다.
얼굴 두드러기 치료에 도움이 되는 약물은 무엇인가요
얼굴 두드러기 치료에 도움이 되는 주요 약물은 다음과 같습니다.
- 2세대 항히스타민제: 졸림 부작용이 적고, 두드러기 증상 완화에 가장 기본적이며 효과적인 약물입니다. 만성 두드러기의 경우 규칙적으로 최소 용량을 복용하면서 증상을 조절하는 것이 중요합니다. 대표적인 항히스타민제에는 세리티진, 로라타딘, 데슬로라타딘, 펙소페나딘, 레보세티리진 등이 있습니다.
- 코르티코스테로이드: 증상이 급성으로 악화되거나 심한 경우, 단기간 경구 투여할 수 있습니다. 장기간 사용은 부작용 위험 때문에 권장되지 않습니다.
- 면역억제제 및 생물학적 제제: 항히스타민제로 조절되지 않는 만성 두드러기 환자에게 류코트리엔 억제제, 사이클로스포린 같은 면역억제제를 쓰기도 하며, 오말리주맙(면역글로불린 E에 대한 단클론 항체) 주사도 사용되어 효과적입니다.
- 에피네프린: 혈관부종 등 중증 반응이 있을 때 응급 처치용으로 자가주사기를 휴대하고 투여합니다.
요약하면, 기본 치료는 2세대 항히스타민제이며, 필요 시 단기간 코르티코스테로이드 또는 면역억제제,
생물학적 제제로 치료를 확대합니다.
치료 중 약물의 용량과 지속 기간은 증상과 중증도에 따라 조절되어야 하므로
전문의와 상담하여 처방받는 것이 중요합니다.
서울대학교병원 의학정보
MSD 매뉴얼 피부 질환 - 두드러기
유튜브 건강강좌 - 만성 두드러기