강아지 MRI
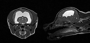
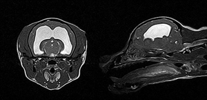
강아지 MRI는 반려동물의 신경계 질환이나 뇌, 척수, 관절 등의 정밀 진단에 매우 유용한 영상 검사입니다. 주로 경련, 사지마비, 뇌염, 뇌종양, 디스크 질환, 수두증 등 신경계 증상이 있을 때 시행하며, 방사선을 사용하지 않고 강한 자기장을 이용해 신경 조직의 변화를 상세하게 볼 수 있습니다. 검사 시 강아지를 전신마취해야 하며, 마이크로칩 같은 금속성 물질이 있으면 제거 후 촬영하는 것이 좋습니다.



주요 특징과 필요 상황:
- MRI는 뇌와 척수의 염증, 종양, 디스크질환 같은 질병을 정밀하게 진단할 수 있어 신경계 이상이 의심될 때 필수적이다.
- 경련이 반복되거나 장시간 지속되는 경우, 뇌수두증 같은 선천성 기형 확인, 뇌종양 의심 시 MRI가 꼭 필요하다.
- CT나 X-ray로는 연부 조직의 정밀한 이상까지 확인이 어려워 MRI가 골드스탠다드 검사로 인정받는다.
- 촬영 시간과 마취 위험성 때문에 사전 검사와 전문 수의사 모니터링이 필수다.
MRI는 강아지의 신경계 질환 진단과 치료 계획에 핵심 역할을 하며, 보호자들이 강아지의 이상 행동이나 증상을 느낄 때 신속한 검사를 통해 조기 진단과 치료가 가능하도록 돕는다.
강아지에게 MRI가 권장되는 주요 증상은 무엇인가



강아지에게 MRI가 권장되는 주요 증상은 다음과 같습니다:
- 반복적이거나 2분 이상 지속되는 경련 (특히 24시간 내 2회 이상 경련)
- 갑작스러운 성격 변화, 시선 이상, 균형 장애
- 보행 장애, 시야 장애, 한쪽 사지 마비 또는 경직
- 머리를 한쪽으로 기울이거나 원을 그리며 도는 행동
- 이유 없는 공격성 증가 또는 성격 변화
- 갑작스러운 시각 상실, 반응 감소
- 경련이 약물 치료에 반응하지 않을 때
- 외부 충격 후 발생한 경련 (교통사고, 낙상 등)
- 뇌염, 뇌종양, 뇌수두증(뇌실 확장) 등이 의심될 때
이 증상들은 강아지의 신경계 이상을 시사하며, MRI는 뇌와 척수 등 연부 조직을 정밀하게 검사하여 정확한 진단과 치료 계획 수립에 핵심적인 역할을 합니다. 단발성 경련은 추적 관찰할 수 있으나, 위의 증상 중 하나라도 나타나면 MRI 검사를 권장합니다. 특히 신경계 구조적 손상, 종양, 염증, 기형 등을 확인하는 데 MRI가 필수적입니다.
강아지 MRI 촬영 전 어떤 검사와 준비가 필요한가
강아지 MRI 촬영 전 필요한 검사와 준비는 다음과 같습니다:
- 금식: 보통 MRI 촬영 전 강아지는 마취 과정 안전을 위해 약 6시간 이상 금식을 해야 합니다. 음식과 음료 공급을 중단하는 것이 중요합니다.
- 건강 상태 평가: 촬영 전에 수의사가 강아지의 전반적인 건강 상태를 평가합니다. 기존 질병, 약물 복용 여부, 마취 이력 등을 수의사에게 알려야 안전한 마취와 촬영이 가능합니다.
- 마취 준비: 강아지는 MRI 촬영 중 움직이지 않도록 전신 마취가 필요합니다. 마취 전 심장 박동과 호흡 상태 등의 생체 신호를 모니터링하며, 마취 위험성을 최소화하기 위한 준비가 이루어집니다.
- 금속 물질 제거: 강아지 몸에 마이크로칩(인식칩) 등 금속성 물질이 있으면 반드시 제거해야 하며, 검사 전 이를 확인합니다.
- 검사 후 준비: 촬영 후에는 마취에서 깨어나는 동안 보호자가 강아지를 주의 깊게 관찰해야 하며, 안정적인 환경을 제공하고 충분한 수분과 영양 섭취를 도와야 합니다.
이러한 준비와 검사는 강아지의 안전한 MRI 검사 수행과 정확한 진단을 위해 필수적입니다.
MRI와 CT 중 강아지 신경계 진단에 더 유리한 검사는 어느 것인가



강아지 신경계 진단에 있어 MRI가 CT보다 더 유리한 검사로 평가됩니다. MRI는 뇌와 척수 같은 연부 조직의 염증, 뇌종양, 경색, 디스크 질환 등 신경계 변화를 매우 정밀하게 확인할 수 있어 신경계 질환 진단의 골드 스탠다드(표준 검사)로 여겨집니다. 반면 CT는 뼈 상태나 골절, 종양의 침습 정도 및 위치 확인에 강하며, 종양 수술 전이나 뼈 이상이 의심될 때 더 유용합니다.
즉, 신경계 이상 증상 (예: 경련, 사지마비, 발작)이나 뇌·척수 연부조직 문제 의심 시 MRI가 권장되고, 뼈 질환이나 골절, 암의 침습 범위 평가 시 CT가 보조적으로 활용됩니다. 국내 동물병원에서는 두 검사를 같이 진행하기도 하며, 정확한 진단과 치료 계획 수립을 위해 필요한 검사를 적절히 선택하는 것이 중요합니다.
강아지 MRI에서 전신마취 위험을 낮추는 방법은 무엇인가
강아지 MRI 전신마취 위험을 낮추는 방법은 다음과 같습니다:
- 사전 건강 평가 철저: 마취 전 혈액검사, 흉부 방사선 검사 등을 통해 심장, 폐, 간, 신장 등 주요 장기의 기능을 평가하여 마취에 따른 위험성을 미리 파악합니다. 이를 통해 적합한 마취 약물과 용량을 결정합니다.
- 마취 위험도 분류: 반려동물의 건강 상태를 기준으로 마취 위험도를 분류하고, 고위험군에 대해서는 특별 관리 계획을 세워 위험을 줄입니다.
- 마취 중 모니터링 강화: 심박수, 호흡, 혈압 등 생체 신호를 지속적으로 관찰하여 위험 징후가 발견되면 즉시 대응합니다.
- 마취 방법 선택: 혈관 주사 마취와 호흡 마취 중 상황에 맞게 안전성이 높은 방법을 선택하며, 호흡 마취는 마취 깊이 조절이 비교적 용이해 안전성을 높이는 데 유리합니다.
- 마취 기간 최소화: 가능한 한 짧고 효율적인 검사를 통해 마취 시간을 줄여 위험도를 낮춥니다.
- 회복 관리 철저: 마취 후 회복 과정에서 저산소증 예방 및 통증 관리로 강아지가 안정적으로 깨어날 수 있도록 합니다.
이러한 준비와 관리는 마취 관련 부작용과 위험을 최소화하며, 강아지에게 최대한 안전한 MRI 검사가 이루어지도록 돕습니다.
MRI로 강아지 뇌종양과 간질을 어떻게 구분하는가
강아지 MRI에서 뇌종양과 간질(특발성 혹은 구조적 간질)을 구분하는 방법은 주로 다음과 같습니다:
- 뇌종양은 MRI에서 뇌 내에 명확한 종괴(종양 덩어리)가 보이며, 조영제 주입 후 해당 부위가 강하게 증강되는 특징이 있습니다. 종양 주변에 부종이나 뇌조직 압박 증상이 동반돼 보이며, 위치와 크기가 확인됩니다. 뇌종양은 노령견에서 발작과 함께 행동 변화, 균형 장애, 시각장애 등의 신경학적 증상이 나타납니다.
- 반면 간질 자체는 구조적 이상을 동반하지 않는 특발성 간질일 경우 MRI에서 이상 소견이 없거나 미약한 변화를 보입니다. 그러나 구조적 간질의 경우에는 뇌염, 뇌 손상, 뇌기형, 뇌출혈 등 뇌 조직에 국소적 변화가 MRI에 나타나기도 합니다. 간질 증상은 반복적 경련이 주로 특징이며, MRI를 통해 간질의 원인이 되는 뇌 조직 손상 여부를 평가합니다.
결론적으로, MRI는 뇌 안에 실제 종양 덩어리 및 주변 조직 변화를 뚜렷이 보여주며, 간질은 뇌종양과 달리 종괴 없이 경련 발생 원인에 따른 뇌 조직 변화를 확인하는 데 도움을 줍니다. 따라서 MRI 영상 소견과 임상 증상을 종합해서 뇌종양과 간질을 구분하고, 이에 맞는 치료 계획을 세우게 됩니다.