폐섬유증
폐섬유증은 폐 조직이 점차 딱딱하게 굳어져서 심각한 호흡 장애를 일으키는 만성 호흡기 질환입니다.
이 병에서 폐가 굳는 현상은 주로 폐 조직 내에 섬유질 결합조직이 비정상적으로 많이 축적(섬유화)되기 때문입니다.
섬유화가 진행되면 폐벽이 두꺼워지고, 이로 인해 혈액으로 산소를 전달하는 기능이 심각하게 저하됩니다.
그 결과 호흡곤란, 만성 건조 기침, 피로, 체중 감소 등의 증상이 나타나며,
진행될수록 일상적인 활동에서도 숨이 차거나 힘들어지는 경우가 많습니다.



폐섬유증의 일부는 원인을 찾을 수 있으나, 특별한 원인을 찾을 수 없는 경우를 특발성 폐섬유증이라고 부릅니다.
이는 대개 서서히 진행되다 갑자기 악화될 수 있으며, 한 번 굳은 폐조직은 되돌릴 수 없어 예후가 좋지 않은 경우가 많습니다.
중요 특징:
- 대표 증상: 운동 시 호흡곤란, 마른기침, 피로, 체중 감소
- 진행 시기: 천천히 진행되지만, 때때로 갑작스럽게 악화 가능
- 주요 합병증: 저산소증, 곤봉지(손가락 끝이 둥글게 변형), 폐고혈압, 폐암 동반 위험
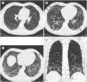
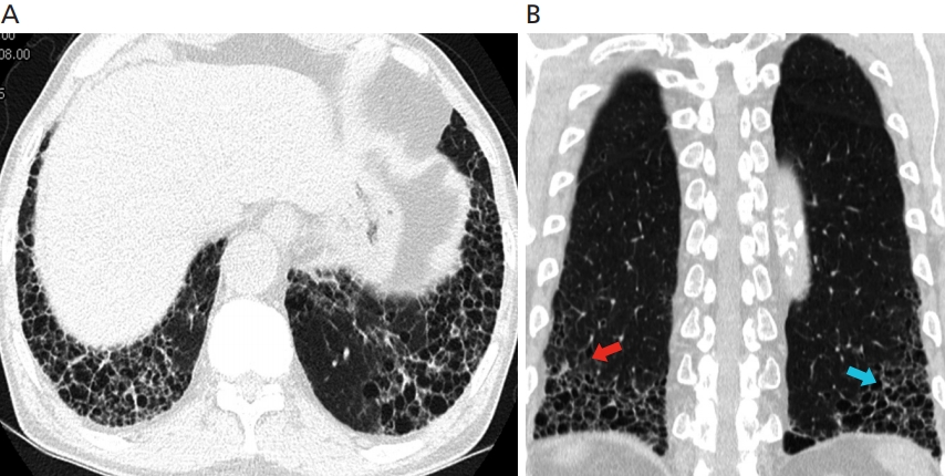
- 진단: 흉부 CT, 폐 기능 검사, 조직 생검 등을 활용
- 치료: 완치가 어렵고 진행을 늦추는 항섬유화제(퍼페니돈, 닌테다닙)와 대증요법, 말기에는 폐이식이 유일한 근본적 치료법
폐섬유증은 특히 노년층, 흡연자, 유해 환경 노출이 많은 사람에서 위험이 높으며,
발병 시에는 빠르고 정확한 진단과 치료가 예후에 중요합니다.
폐섬유증의 가장 흔한 증상은 무엇일까
폐섬유증의 가장 흔한 증상은 **운동 시 호흡곤란(숨이 참)**과 **마른기침(가래 없는 기침)**입니다.
이 증상들은 대다수 환자에게서 나타나며, 병이 진행될수록 호흡곤란이 점차 심해지고,
지속적이고 조절되지 않는 마른기침이 동반됩니다.
추가로 흔히 동반되는 증상에는 피로, 체중 감소, 저산소증에 의한 곤봉지(손가락 끝 둥글어짐) 등이 있으며,
일부 환자에서는 초기에 증상이 나타나지 않을 수도 있습니다.
하지만 대체로 "숨이 차다"는 호소가 가장 대표적이고 힘든 증상으로 꼽힙니다.
특발성 폐섬유증과 유해 화학물질 관련 폐섬유증의 차이점은 무엇인가
특발성 폐섬유증과 유해 화학물질 관련 폐섬유증의 주요 차이점은 발병 원인, 진단 과정,
그리고 치료 및 예후에 있습니다.
1. 발병 원인(etiology)
- 특발성 폐섬유증(IPF, Idiopathic Pulmonary Fibrosis)
- ‘특발성’이란 말처럼 정확한 원인을 알 수 없는 섬유증입니다.
- 유전적 소인, 흡연, 노화, 환경적 요인 등이 복합적으로 작용할 수 있지만 뚜렷한 직접적 원인은 없습니다.
- 평균적으로 노년 남성(65세 이상, 흡연력 있음)에서 흔하게 발견됩니다.
- 유해 화학물질 관련 폐섬유증
- 확실한 외부 원인이 존재합니다. 가습기 살균제(대표적 사례), 유기용제, 산업 화학물질, 금속·나무·석공·동물·식물 등 섬유화 유발 물질 노출에 의해 폐에 직접 손상이 발생합니다.
- 해당 물질에 반복적·만성적으로 노출된 후 일정 기간이 지나 폐조직에 염증과 섬유화가 진행됩니다.
2. 진단 과정
- 특발성 폐섬유증
- 원인을 찾을 수 있는 요인(직업, 병력, 노출 등)을 모두 배제한 뒤 ‘원인 미상’ 간질성 폐질환임을 증명해야 진단이 됩니다.
- 고해상도 흉부 CT와 폐조직 검사, 다양한 감별진단(자가면역질환, 약물, 환경성 노출 가능성 배제) 과정이 필요합니다.
- 유해 화학물질 관련 폐섬유증
- 명확한 노출 이력(예: 특정 화학물질 접촉력)을 근거로 진단합니다.
- 동료 근로자나 집단 내 유사 사례, 물질 노출 후 증상 발생 시점 분석이 결정적입니다.
- 진단과정은 원인 규명이 상대적으로 용이합니다. 일부 법적·산재적 평가가 병행되기도 합니다.
3. 임상 경과 및 치료·예후
- 특발성 폐섬유증
- 서서히 수년에 걸쳐 진행하면서, 일부 환자에서는 갑자기 악화될 수 있습니다.
- 현재까지 완치 약제는 없고, 항섬유화제(퍼페니돈, 닌테다닙)로 진행속도만 일부 늦출 수 있으며, 말기에는 폐이식이 유일한 치료법입니다.
- 예후가 비교적 나쁘며 평균 5년 생존율이 40% 부근입니다.
- 유해 화학물질 관련 폐섬유증
- 유해물질 노출 중단이 가장 중요합니다.
- 노출 차단 후 더 이상의 진행이 느려지거나 멈출 수도 있으며, 일부는 약물치료, 면역억제제·스테로이드 등으로 진행 조절을 시도할 수 있습니다.
- 하지만 이미 만성적으로 섬유화가 진행된 경우 특발성과 마찬가지로 예후가 좋지 않을 수 있습니다.
| 발병 원인 | 원인 불명(특발성). 유전·환경적 소인 | 명확한 화학물질(가습기살균제, 유기용제 등) |
| 진단 과정 | 모든 원인 배제 후 ‘원인 미상’ 판정 | 노출력·직업력 등으로 원인 규명 용이 |
| 치료/예후 | 진행 늦추는 약제(완치 불가), 말기엔 폐이식 | 노출 중단이 최우선, 일부는 진행 억제 가능 |
| 질병 경과 | 만성적·점진적, 일부 급격 악화 | 노출 양상에 따라 다양, 조기 차단 시 호전 가능 |
| 대표 사례 | 65세 이상 남성, 흡연력, 원인 모름 | 가습기 살균제 노출자, 산업 현장 화학물질 작업자 |
- 한마디로, 특발성 폐섬유증은 원인을 알 수 없을 때 진단, 유해 화학물질 관련 폐섬유증은 명확한 원인(노출력)이 있을 때 진단하며, 치료와 예후에서 차이가 존재합니다
폐섬유증이 진행되면 어떤 합병증이 나타날까



폐섬유증이 진행되면 대표적으로 호흡 부전(산소 부족으로 인한 호흡부전), 폐암, 폐렴 등 심각한 합병증이 나타날 수 있습니다.
주요 합병증은 다음과 같습니다:
- 호흡 부전 및 저산소증: 폐가 굳어지면서 산소 교환 기능이 점점 떨어져 혈중 산소농도가 낮아집니다. 이로 인해 만성 호흡곤란, 청색증(입술·손끝이 파래짐), 곤봉지(손가락 끝이 둥글게 부풀어 오름) 등이 발생합니다.
- 우심부전(폐성심): 만성 저산소증과 높은 폐혈압 탓에 심장이 부담을 받으며 우측 심장(우심실)이 약해지고, 궁극적으로 우심부전(폐성심)이 생길 수 있습니다.
- 폐렴 및 각종 감염: 섬유화로 면역력이 저하된 상태이므로, 폐렴이나 기타 호흡기 감염이 쉽게 동반될 수 있습니다.
- 폐암: 정상인에 비해 폐암이 발생할 위험이 증가합니다. 특히 수년 이상 진행된 폐섬유증 환자에서 더 자주 보고됩니다.
- 급성 악화: 갑작스럽게 호흡곤란이 급격히 심해지는 '급성 악화' 현상이 나타날 수 있으며, 이 경우 사망률이 매우 높습니다.
- 체중 감소, 심한 피로: 만성 호흡곤란, 식욕부진, 영양 저하로 이어져 말기에는 심한 체중 감소와 쇠약이 동반됩니다.
이 외에도 폐색전증, 심근경색 등 심혈관계 합병증 위험도 동반될 수 있습니다.
폐섬유증이 상당히 진행된 경우, 합병증에 의한 사망률이 매우 높으므로,
조기 진단 및 철저한 경과 관찰이 중요합니다.
폐섬유증의 원인과 진행 과정은 어떻게 되나요
폐섬유증의 원인
폐섬유증은 폐 조직이 굳어지는 만성 질환으로, 원인에 따라 크게 두 가지로 나뉠 수 있습니다.
- 특발성 폐섬유증: 가장 흔한 형태로, 정확한 원인을 알 수 없습니다. 유전적 소인, 노화, 흡연, 환경적 요인(예: 미세먼지, 대기오염) 등이 복합적으로 관여할 수 있지만, 명확한 직접적 원인은 파악되지 않습니다.
- 이차성(원인이 밝혀진) 폐섬유증: 아래와 같은 요소에 의해 유발될 수 있습니다.
- 반복적인 유해 화학물질·먼지·가스(예: 가습기살균제, 석면, 규소, 금속, 나무 등) 흡입
- 자가면역질환(류마티스 관절염, 전신경화증 등)
- 특정 약물(일부 항암제, 항생제, 항부정맥제 등)
- 바이러스, 만성 감염
- 방사선 치료 후유증
폐섬유증의 진행 과정
- 폐 조직 손상 및 만성 염증
- 반복적인 외부 자극(또는 미확인 인자)에 의해 폐포(허파꽈리)와 세기관지 부위가 손상되면, 염증 반응이 생깁니다.
- 섬유화(흉터 조직 생성)
- 정상 회복 과정보다 비정상적으로 강한 섬유화 반응이 유도됩니다.
- 염증 부위에 콜라겐 등 결합조직이 과다하게 축적되어, 폐 조직이 점차 딱딱해지고 두꺼워집니다.
- 폐 기능 저하
- 섬유화가 진행되며 폐의 탄력성이 떨어지고, 산소 교환 능력이 감소합니다.
- 이로 인해 점차 호흡곤란, 마른기침 등 증상이 발생하며, 폐 기능이 꾸준히 저하됩니다.
- 질환의 만성적 악화
- 폐섬유증은 대개 수년에 걸쳐 서서히 진행되지만, 때때로 갑작스러운 악화(급성 악화)가 나타날 수도 있습니다.
- 질병이 진행될수록 산소 부족, 우심부전, 폐고혈압, 폐렴·감염, 폐암 등 합병증 위험이 증가합니다.
- 말기 및 불가역적 변화
- 이미 굳어진 폐 조직은 원상 회복이 불가능합니다.
- 말기에는 호흡 부전으로 일상 생활이 크게 제한되며, 폐이식 외에는 근본적 치료가 어렵게 됩니다.
요약:
폐섬유증은 주로 원인이 불분명하거나(특발성), 화학물질·약물·자가면역 등 명확한 자극에 의해 생기며,
지속적 폐 손상→과도한 흉터 조직 축적→폐 조직 딱딱해짐→호흡곤란 및 합병증 순으로
서서히 악화되는 경과를 보입니다.
따라서 빠른 진단과 원인 노출 차단, 진행 억제 치료가 매우 중요합니다.
폐섬유증 예방을 위한 생활 습관은 무엇이 있을까
폐섬유증 예방을 위한 생활 습관은 다음과 같습니다.
- 금연은 가장 중요합니다. 담배 연기와 흡연은 폐 조직 손상을 악화시키므로 반드시 금연해야 합니다.
- 유해 환경 노출 최소화: 미세먼지, 분진, 유해 화학물질, 가습기 살균제 등 폐에 해로운 물질이 많은 환경은 피하고, 외출 시 마스크 착용이 도움이 됩니다. 실내에서는 공기청정기를 사용하는 것도 좋으며, 환기를 자주 시켜 깨끗한 공기를 유지해야 합니다.
- 감염 예방: 독감, 폐렴구균 백신을 접종하여 폐렴 및 급성 악화를 예방하고, 감염에 노출되지 않도록 주의합니다.
- 규칙적이고 적절한 운동: 숨이 차더라도 가능한 범위 내에서 가벼운 유산소 운동(걷기, 수영 등)을 꾸준히 하는 것이 폐 기능 유지에 도움이 됩니다.
- 건강한 식습관 및 충분한 휴식: 항산화 식품(과일, 채소)을 충분히 섭취하며, 면역력 강화와 체력 유지를 위해 충분한 수면을 취합니다.
- 정기적인 폐 건강 검진: 특히 55세 이상, 흡연경력자, 가족력 또는 분진 노출 직업군은 정기적인 폐 기능 검사와 흉부 CT가 권장됩니다.
- 스트레스 관리와 온도 변화 피하기: 급격한 온도 변화나 스트레스는 폐 섬유화 악화에 영향을 줄 수 있어 주의해야 합니다.
이러한 생활 습관들은 폐섬유증의 발생 위험을 줄이고 진행 속도를 늦출 수 있으며, 일상생활의 삶의 질을 유지하는 데 도움이 됩니다.